На протяжении всей жизни наш организм подвергается воздействию различных факторов, которые могут привести к возникновению различных заболеваний. Некоторые из них могут оказаться довольно серьезными и требующими незамедлительного лечения. Одним из таких заболеваний является киста гайморовой пазухи – патологическое образование в полости головы, способное значительно нарушить рутину жизни и вызвать массу неприятных симптомов. Для постановки правильного диагноза и назначения соответствующего лечения крайне важно знать код МКБ этого заболевания.
Код МКБ – это специальный код, который помогает идентифицировать и систематизировать различные заболевания. Он состоит из букв и цифр, которые позволяют быстро определить, к какой определенной категории относится конкретное заболевание. В случае с кистой гайморовой пазухи код МКБ понадобится врачу для более точной диагностики и определения лечебных мероприятий.
Cправка с кодом МКБ для кисты гайморовой пазухи является полезным и информативным инструментом для всех, кто обнаружил у себя симптомы этого заболевания или интересуется проблематикой головы. Такая справка поможет подробно разобраться в сущности заболевания, позволит ознакомиться с его расшифровкой, а также даст возможность ознакомиться с основными причинами и симптомами данного заболевания. Таким образом, обладая подобными знаниями, вы сможете провести первичную оценку своего состояния и принять необходимые меры в случае обнаружения подозрительных признаков.
Общая информация о коде МКБ для кисты гайморовой пазухи
Код МКБ для кисты гайморовой пазухи является международным стандартом, разработанным для унификации диагностической информации о заболеваниях и медицинских состояниях. Он помогает медицинским специалистам классифицировать и кодировать различные медицинские диагнозы, включая кисту гайморовой пазухи.
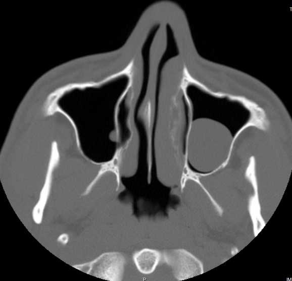
Когда речь идет о гайморовых пазухах, киста является одним из возможных диагнозов. Киста представляет собой опухоль, образованную жидкостью и обычно небольшого размера. Она может возникнуть в гайморовых пазухах, которые находятся по обе стороны носового перегородки. Киста гайморовой пазухи может быть причиной дискомфорта и некоторых симптомов, таких как головная боль и нарушение носового дыхания.
При использовании кода МКБ для идентификации кисты гайморовой пазухи, врачи и медицинские работники могут точно указать диагноз в медицинской документации. Это позволяет стандартизировать информацию и облегчить обмен данными между медицинскими учреждениями. Такая стандартизация помогает улучшить диагностику, лечение и отслеживание заболевания.
Изучаем принцип работы и применение данного кода
При обсуждении кода МКБ, который присваивается кисте гайморовой пазухи, важно понимать его сущность и применение в медицинской классификации. Код МКБ выполняет роль универсальной системы классификации болезней, состояний и причин смерти.
По сути, код МКБ является специальным шифром, который состоит из букв и цифр, представляющих конкретные медицинские диагнозы. Он служит для унификации и стандартизации медицинской информации, облегчает обмен данными между различными врачебными учреждениями и анализ статистики заболеваемости.
Применение кода МКБ для кисты гайморовой пазухи позволяет точно определить диагноз и классифицировать его в соответствии с установленными медицинскими стандартами. Запись и интерпретация кода МКБ позволяют медицинским специалистам быстро и точно определить тип и степень заболевания, что в свою очередь позволяет предложить соответствующее лечение и провести более точный анализ статистики заболеваний.
- Он универсальный, то есть может быть использован в любом медицинском учреждении, независимо от его специализации.
- Он обеспечивает удобство анализа и сравнения медицинских данных.
- Он способствует сбору статистической информации о заболеваемости и распространенности определенных патологий.
- Он позволяет предоставлять объективные данные при подготовке медицинских отчетов.
Присваивание кода диагнозу, связанному с кистой в гайморовой пазухе: информация и объяснения

Врачи и медицинские специалисты используют систему классификации Международной статистической классификации болезней и проблем, связанных со здоровьем для установления диагноза у пациентов. Каждому заболеванию присваивается уникальный код, который позволяет определить конкретную сущность проблемы, а также провести занос в медицинскую документацию. Один из распространенных диагнозов, связанных с кистой, которая образуется в гайморовой пазухе, также имеет свой индивидуальный код.
Кодирование диагноза
Киста гайморовой пазухи – это полость, заполняющаяся жидкостью и образующаяся в области гайморовой пазухи. Она может вызывать некоторые неприятные симптомы и представлять определенные проблемы для пациента. Но какой код присваивается этому конкретному диагнозу? В соответствии с МКБ-10, киста гайморовой пазухи имеет свой уникальный код, который помогает идентифицировать и классифицировать эту проблему. Данный код используется для учетных и статистических целей, а также для обработки и анализа данных.
Расшифровка кода
Код диагноза для кисты гайморовой пазухи может быть представлен, например, как J32.4. Каждая цифра и буква в коде имеет свое значение и несет информацию о специфических характеристиках данного диагноза. Расшифровка кода позволяет медицинским профессионалам и статистикам узнать тип, локализацию и другие важные аспекты данного заболевания. Это также помогает установить связь с другими сопутствующими диагнозами и определить наиболее эффективные методы лечения и ухода за пациентом.
Изучение и понимание кода, присваиваемого кисте гайморовой пазухи, важно для всех, кто связан с медицинской практикой. Знание индивидуального кода позволяет скорее распознать и определить это состояние у пациента, предоставить необходимое лечение и отслеживать долгосрочную динамику заболевания. Профессионализм и знание кода – это ключевые элементы, способствующие эффективной работе и улучшению качества здравоохранения.
Как понять результаты диагностики?
При описании результатов диагностики кисты гайморовой пазухи можно столкнуться с непонятными терминами и кодами. Они служат для обозначения конкретных характеристик и особенностей заболевания, но для непрофессиональных лиц могут вызывать путаницу. В данном разделе мы поможем вам разобраться в расшифровке диагностических данных и понять, что они означают для вашего состояния.
| Код | Синоним | Описание |
|---|---|---|
| А | Аномалия | Выявлены отклонения от нормы в структуре пазухи. |
| И | Инфекция | Обнаружены признаки воспалительного процесса в пазухе. |
| О | Образование | Обнаружена киста (опухоль) в гайморовой пазухе. |
| Н | Норма | Нет патологий, обнаружены только незначительные отклонения. |
Расшифровка кодов поможет вам лучше понять характер и степень заболевания. Однако, для полноценного понимания рекомендуется проконсультироваться с врачом, который сможет более подробно объяснить результаты диагностики и поставить правильный диагноз.