В человеческом организме расположено множество важных структур, каждая из которых выполняет свою уникальную функцию. Иногда в этих областях могут возникать образования, которые, хоть и имеют незначительные размеры, способны оказывать влияние на общее состояние и самочувствие. Понимание потенциальных проблем, связанных с такими образованиями, может сыграть решающую роль в поддержании активной и полноценной жизни.
Эпифиз отвечает за регуляцию ряда процессов, включая цикл сна и бодрствования. Однако наличие определенных образований в этой области может вызвать цепочку нежелательных последствий. Эти образования могут проявляться по-разному и приводить к различным симптомам, что требует особого внимания как со стороны пациентов, так и врачей.
Важно отмечать, что ранняя диагностика и своевременное вмешательство могут существенно улучшить ситуацию. Понимание природы подобных образований и их влияния на организм позволит провести необходимые мероприятия, способствующие восстановлению нормального функционирования организма и снижению влияния на общее самочувствие.
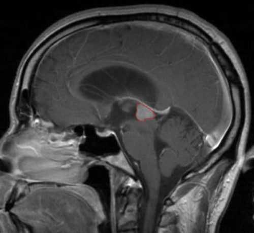
Определение образования на шишковидной структуре
Образование, возникающее в области эпифиза, представляет собой место накопления жидкости в тканях, что может оказывать влияние на функции этого важного органа. Эта аномалия может проявляться различными способами и часто ассоциируется с изменениями в гормональном фоне и процессах регуляции циклов сна и бодрствования.
Характеризуется такое образование как окруженное капсулой скопление, которое зачастую исключает возможность проникновения тканей. Хотя подобные аномалии могут оставаться незамеченными на протяжении длительного времени, их наличие иногда приводит к взаимодействию с окружающими структурами, создавая дискомфорт и потенциальные проблемы. Предварительные исследования и диагностика необходимы для определения характера такого образования и выявления возможных последствий.
Причины формирования образования в организме
Необычные образования в области головного мозга могут возникать по разным причинам. Эти факторы часто связаны как с внутренними процессами, так и с воздействием внешней среды. Понимание данной темы поможет выявить причины и определить возможные меры профилактики.
- Наследственность: Генетическая предрасположенность может играть важную роль в развитии различных аномалий. Изменения на уровне ДНК иногда приводят к формированию подобных образований.
- Воспалительные процессы: Инфекции или аутоиммунные реакции могут вызывать воспаление, что может привести к образованию полостей на месте поражения.
- Травмы: Физические повреждения головы, особенно в результате аварий, могут стать источником развития аномальных образований в мозговом веществе.
- Гормональные изменения: Сдвиги в уровне гормонов способны влиять на метаболизм клеток и способствовать образованию разнообразных структур.
- Экологические факторы: Загрязнение окружающей среды, радиация и другие неблагоприятные условия могут усугубить состояние тканей и вызвать образование.
- Неврологические заболевания: Некоторые болезни центральной нервной системы способствуют изменению нормальной структуры мозга, включая развитии различных образований.
Понимание вышеуказанных факторов важно для своевременной диагностики и разработки подходящих методов лечения, что является ключевым аспектом в поддержании общего состояния организма.
Симптомы образования в шишковидной области
Образования в шишковидной области могут проявляться по-разному, и их симптомы могут сильно варьироваться в зависимости от характера явлений. Не следует игнорировать даже лёгкие проявления, которые могут указывать на наличие подобных образований. Важно быть внимательным к сигналам организма.
- Головные боли различной интенсивности и продолжительности.
- Изменения в режиме сна, включая бессонницу или постоянное чувство усталости.
- Проблемы с концентрацией и памятью.
- Гормональные сбои, включая изменения в менструальном цикле у женщин.
- Снижение половой функции и либидо.
Дополнительно, могут наблюдаться и другие симптомы, отражающие эмоциональное состояние:
- Нарушения настроения, проявляющиеся в виде депрессии.
- Частые перепады настроения и раздражительность.
- Общее чувство тревожности и беспокойства.
Если наблюдается один или несколько из перечисленных признаков, рекомендуется обратиться к специалисту для проведения диагностики и получения дальнейших рекомендаций.
Диагностика образования с помощью МРТ
При применении МРТ специалисты могут выявить особенности структуры и состояния пораженной зоны, а также различить между собой доброкачественные и злокачественные образования. Важно отметить, что данная методика не использует ионизирующее излучение, что делает её безопасной для пациента.
Кроме того, МРТ позволяет осуществить динамическое наблюдение за изменениями, происходящими в клетках, что особенно актуально при долгосрочной терапии. На основе полученных изображений доктор может поставить точный диагноз и выбрать оптимальную стратегию лечения.
Важно, чтобы пациенты своевременно обращались за медицинской помощью и проходили необходимую диагностику, так как раннее выявление патологии значительно увеличивает шансы на успешное лечение и предотвращение возможных осложнений.
Риски развития за пределами нормы
Ненормальные образования в организма могут вызвать серьезные осложнения, если не предпринимать должные меры. Важно понимать, что даже доброкачественные опухоли могут привести к негативным последствиям, связанным с их ростом и давлением на окружающие структуры. В данном контексте контроль над изменениями и своевременная диагностика играют ключевую роль.
Размер, местоположение и физические характеристики образований могут существенно повлиять на общее состояние пациента. Проблемы могут возникнуть, если образования начинают сжимать соседние органы или влиять на гормональный фонд. Наиболее распространенными рисками являются:
| Тип риска | Описание |
|---|---|
| Симптоматические проявления | Увеличение может вызвать головные боли, нарушения зрения и эмоциональные расстройства. |
| Нарушение эндокринной функции | Давление на соседние структуры может привести к сбоям в работе гормонов. |
| Инфекционные риски | Изменения могут привести к воспалительным процессам из-за пережатия тканей. |
| Патологические изменения | Существует вероятность малигнизации, что может потребовать более серьезного лечения. |
Регулярный мониторинг и внимание к изменениям в самочувствии являются важными аспектами, позволяющими минимизировать риски и обеспечить своевременное вмешательство при необходимости. Настоятельно рекомендуется обращаться к специалистам для получения необходимых обследований и рекомендаций по дальнейшему наблюдению.
Воздействие на эндокринную систему
Образования, возникающие в области сосуда, играют важную роль в функционировании эндокринной системы. Их влияние может проявляться как в изменении выработки гормонов, так и в нарушении обменных процессов организма. Дисбаланс на данном уровне может оказать значительное влияние на общее состояние пациента, что требует внимательного подхода к диагностике и лечению.
Эти новообразования способны оказывать воздействие на работу соседних органов и систем. Неправильная функция может вызывать избыток или недостаток определенных гормонов, что, в свою очередь, ведет к различным расстройствам. Происходит сбой в саморегуляции, что может привести к серьезным изменениям в обмене веществ и эмоциональном состоянии больного.
На фоне таких нарушений могут развиваться различные состояния, такие как депрессия, нарушения сна и повышенная утомляемость. Кроме того, эндокринные изменения могут значительно повлиять на репродуктивные функции и общее качество жизни человека, что подчеркивает важность мониторинга состояния и своевременного вмешательства при необходимости.
Таким образом, влияние неполадок в области образования на эндокринную систему требует серьезного внимания со стороны специалистов. Понимание характерных изменений и их последствий является ключевым фактором для разработки эффективных методов лечения и профилактики возможных осложнений.
Методы лечения образований
Существуют различные подходы к устранению образований в области эпифиза, каждый из которых определяется индивидуальными характеристиками пациента и спецификой случая. Важно учитывать степень развития патологии, клинические проявления и потенциальные риски, связанные с лечением.
Консервативные методы часто включают медикаментозную терапию, направленную на уменьшение симптоматики и стабилизацию гормонального фона. К таким средствам могут относиться препараты, регулирующие уровень мелатонина и другие гормоны, что способствует нормализации функций эпифиза.
В случаях значительного роста образования или появления выраженных симптомов может потребоваться хирургическое вмешательство. Операция может быть выполнена как миниинвазивным способом, так и через традиционные хирургические подходы, в зависимости от местоположения и размера образования.
Также неконтролируемые формирования могут потребовать наблюдения с помощью регулярных обследований, что позволит отслеживать изменения в их состоянии и при необходимости принимать адекватные меры. Выбор конкретного метода лечения должен обсуждаться с квалифицированным специалистом.
Народные методы иногда используются как дополнение к основной терапии, однако они не должны заменять традиционные подходы к лечению. Альтернативные средства, такие как травяные настои или фитотерапия, могут оказывать вспомогательное действие, но всегда следует консультироваться с врачом перед их применением.
Хирургическое вмешательство: показания и риски

Когда консервативные методы лечения оказываются неэффективными, может возникнуть необходимость в оперативном вмешательстве. Операция основана на удалении образования для устранения массы потенциальных осложнений и улучшения состояния пациента.
Основными показаниями к хирургическому вмешательству являются:
- Наличие выраженных симптомов, значительно ухудшающих качество жизни;
- Прогрессирование образования, сопровождающееся увеличением массы;
- Подозрения на злокачественный процесс;
- Отсутствие положительного результата от медикаментозной терапии;
- Негативное влияние на окружающие ткани и органы.
Несмотря на эффективность операций, существуют и определенные риски, которые стоит учитывать:
- Операционные осложнения (кровотечения, инфекции);
- Риск повторного образования, если первоисточник не был полностью удален;
- Нарушения эндокринной функции из-за повреждения соседних тканей;
- Неврологические проблемы, возникающие в результате воздействия на нервные окончания;
- Долгий восстановительный период, требующий специального ухода.
Принятие решения о проведении операции должно основываться на тщательном анализе состояния пациента и потенциальных последствиях. Консультация с медицинским специалистом поможет определить наилучший подход к лечению.
Усложнения, связанные с образованием
Развитие определённых образований может привести к различным осложнениям, существенно влияющим на функционирование организма. С течением времени такие изменения могут вызывать как физический, так и психоэмоциональный дискомфорт, предоставляя новое значение понятию проблема со здоровьем.
Одним из наиболее значительных рисков является вероятность повышения давления внутри черепа. Это состояние может вызывать головные боли, ухудшение зрения и даже неврологические нарушения. В случае значительного увеличения размеров образования, оно может оказывать давление на окружающие ткани, что, в свою очередь, приводит к нарушению их работы.
Другим возможным осложнением является нарушение гормонального баланса. Учитывая связь с эндокринной системой, ненормальное функционирование может вызывать ряд расстройств, включая нарушения менструального цикла и проблемы с концентрацией внимания. Долговременные изменения могут негативно сказаться на общем состоянии организма.
Также не стоит забывать о возможности механического повреждения. Образование может расположиться в зоне с высокой вероятностью травматизации, что в некоторых случаях требует оперативного вмешательства для предотвращения осложнений.
Кроме того, изменения такого рода могут стать источником инфекционных процессов, если происходит их изолированное или хроническое воспаление. Подобные состояния требуют тщательного мониторинга и, при необходимости, адекватного лечения.
Сложные формы могут также привести к психоэмоциональным проблемам, таким как тревога и депрессия, что дополнительно усугубляет состояние пациента. Это делает необходимость наблюдения и, в некоторых случаях, интервенции исключительно актуальной. Важно проводить регулярные осмотры с целью выявления любых изменений вовремя.
Влияние на качество сна и настроение
Наличие образований в области эпифиза может оказывать значительное воздействие на восприятие человеком своего состояния и общее самочувствие. Поскольку эта область мозга отвечает за выработку мелатонина, гормона, регулирующего циркадные ритмы, любые нарушения могут привести к проблемам со сном, затрудняя процесс засыпания и качество отдыха. В результате, неудачный и прерывистый сон становится частым спутником, вызывая хроническую усталость и раздражительность.
Эмоциональное состояние также может страдать от подобных нарушений. Исследования показывают, что недостаток качественного отдыха влечет за собой возникновение депрессивных состояний, тревожности и изменений в настроении. Люди могут чувствовать себя подавленными и менее устойчивыми к стрессовым ситуациям, что снижает общую продуктивность и ухудшает качество жизни.
Ещё одним важным аспектом является то, что нарушения, связанные с гормональным фоном, очевидно отражаются на психологическом состоянии. Изменения в уровне серотонина и мелатонина могут влиять на уровень счастья и удовлетворенности жизнью. Таким образом, стабильное функционирование этой маленькой, но значимой структуры мозга имеет необычайное значение для комфортного существования. Важно обращать внимание на любые изменения в состоянии, так как они могут сигнализировать о необходимости медицинского вмешательства.
Профилактика образования образований
Сохранение здоровья и предотвращение нежелательных образований требует осознанного подхода к образу жизни, а также регулярного медосмотра. Разработка стратегий, направленных на снижение рисков, может значительно улучшить общее состояние организма и избежать сложных последствий.
Первое, на что стоит обратить внимание, – это правильное питание. Употребление в пищу свежих фруктов, овощей, и продуктов, богатых витаминами и минералами, укрепляет иммунную систему и способствует нормальному функционированию эндокринной системы. Ограничение продуктов с высоким содержанием сахара и жиров также может сыграть важную роль в поддержании здоровья.
Вторым аспектом является физическая активность. Регулярные занятия спортом улучшают кровообращение, помогают поддерживать оптимальный вес, а также снижают уровень стресса. Рекомендуется уделять внимание не только кардионагрузкам, но и силовым тренировкам, что обеспечит комплексный подход к укреплению организма.
Не менее важным является контроль над уровнем стресса. Практики, такие как медитация, йога и глубокое дыхание, могут значительно улучшить психологическое состояние. Сокращение психоэмоциональных нагрузок способствует гармонии в организме и снижает вероятность возникновения нежелательных образований.
Регулярные медицинские осмотры могут выявить проблемы на ранней стадии. Важно не игнорировать общие симптомы и вовремя обращаться к врачу для обследования. Своевременная диагностика и профилактические мероприятия являются залогом успешного предотвращения и лечения заболеваний.
Поддержание здорового образа жизни, правильное питание, физическая активность и регулярные визиты к врачу помогут значительно снизить риски и укрепить здоровье на долгие годы.
Рекомендации по образу жизни
Поддержание оптимального уровня здоровья и профилактика различных заболеваний требуют выполнения определённых жизненных привычек. Изменение образа жизни может значительно повысить шансы на предотвращение образования патологий в организме и улучшить общее самочувствие.
Следующие рекомендации помогут создать здоровую среду для функционирования организма и поддержания гормонального баланса:
| Рекомендация | Описание |
|---|---|
| Сбалансированное питание | Употребление витаминов и минералов, особенно витамина D и кальция, способствует укреплению здоровья. Следует избегать переработанных продуктов и трансжиров. |
| Физическая активность | Регулярные физические нагрузки не только улучшают общее состояние организма, но и помогают в нормализации гормонального фона. |
| Управление стрессом | Методы релаксации, такие как медитация и йога, способствуют снижению уровня стресса, что позитивно сказывается на всей эндокринной системе. |
| Регулярные медицинские обследования | Периодическое посещение врача и выполнение необходимых исследований помогут в ранней диагностике и контроле состояния здоровья. |
| Сон и режим отдыха | Качественный сон является основой физического и психического благополучия. Нужно стремиться к соблюдению режима и достаточной продолжительности ночного отдыха. |
| Избежание вредных привычек | Отказ от курения и избыточного употребления алкоголя значительно влияет на общее физическое состояние и снижает риск развития множества заболеваний. |
Интеграция этих советов в повседневную жизнь поможет не только улучшить общее состояние, но и создать условия для оптимального функционирования организма.